10 Mind-boggling Facts of Mount Everest-One of the Seven Wonders

Check out some of the least talked about topics, myths, realities and some incredible facts of Mount Everest!

  • How old is Mount Everest?
  • Does Mount Everest also grow?
  • Where did Mount Everest get its name From?
  • When did the highest peak get a new name – Mount Everest?
  • Who named the mountain which Already had its name?
  • Who lives in Mount Everest? (Religious Belief)
  • Who lives in Mount Everest? (Reality)
  • Was Mount Everest once under the sea?
  • Were Sir Edmund Hillary and Tenzing Norgay Sherpa really the first pair to summit Mount Everest?
  • What happens in the infamous Death Zone?

Some 13.8 billion years ago, a hot and infinitely dense point violently exploded, creating our universe – The Big Bang Theory.

Some 5 billion years ago, swirling gas, dusts and rocks were pulled by gravity eventually creating a planet, which now we call our home planet – The Planet Earth.

50 Millions Year Old

Some 50 million years ago, tectonic smashup occurred between the Indian and Eurasian tectonic plates which formed The Great Himalayas, and the tallest peak in the world which was later named – Mount Everest.

Ever Growing

The tectonic collision that took place some 50 million years ago is still happening till today. So, the height of Mount Everest is ever growing. On average, Everest grows by 5 mm per year. According to the latest measurement combinely done by Nepal and China, the current height of Mount Everest is: 8848.86 meters (29,032 feet), more by 86 cm (2.8 ft)) than had been previously officially calculated.

Named After the Man Who Never Laid His Eyes on the Highest Peak

Colonel Sir George Everest was a British surveyor and geographer who for a large period of time, led the Great Trigonometrical Survey. Sir George Everest had protested against the proposal to name the highest mountain after him, which was clearly ruled out.

Mount Everest or सगरमाथा or Chomolungma ཇོ་མོ་གླང་མ was Identified as Peak XV by British before renaming

The tallest mountain was identified as Peak XV by the British explorers. However, Nepalese had its own name – सगरमाथा (Goddess of the Sky), so did Tibetans – Zhumulangma Feng or Chu-mu-lang-ma Feng, or Qomolangma Feng ཇོ་མོ་གླང་མ (Goddess Mother of the World). But British Raj needed a British name (obviously), so सगरमाथा or ཇོ་མོ་གླང་མ was renamed as Mount Everest in 1856. Sir George never laid his eyes on the highest peak.

Mount Kenchenjunga was Considered the Tallest Peak before Peak XV was measured

In 1852, Major General Sir Andrew Scott Waugh and his team discovered that Peak XV was the highest mountain with the height of 8,839.2 m (29,000 ft).

Prior to that, Mount Kenchenjunga was considered the highest mountain in the world. Sir Andrew Scott Waugh worked for Great Trigonometrical Survey and succeeded Sir George Everest in 1843. He was the one, who proposed his predecessor, Sir George Everest’s name for the tallest peak.

Religious Belief: Home for Miyolangsangma – The Tibetan Buddhist Goddess

Tibetans believe that the Goddess of Inexhaustible Giving – Miyolangsangma lives in Chomolungma (Mount Everest). The goddess of the mountains – Miyolangsangma is one of the five long-life sisters. Her characteristics are detailed as a very pretty goddess of humans who rides a red tiger.

Fact: Home for this Fearless Dude

Euophrys omnisuperstes, literally meaning – “standing above everything”, is Himalayan Jumping Spider, which is found above the altitude of 6,700 m., including the tallest mountain. This dude (female too) survives on  Anthomyiidae and springtails found under the Himalayan rocks.

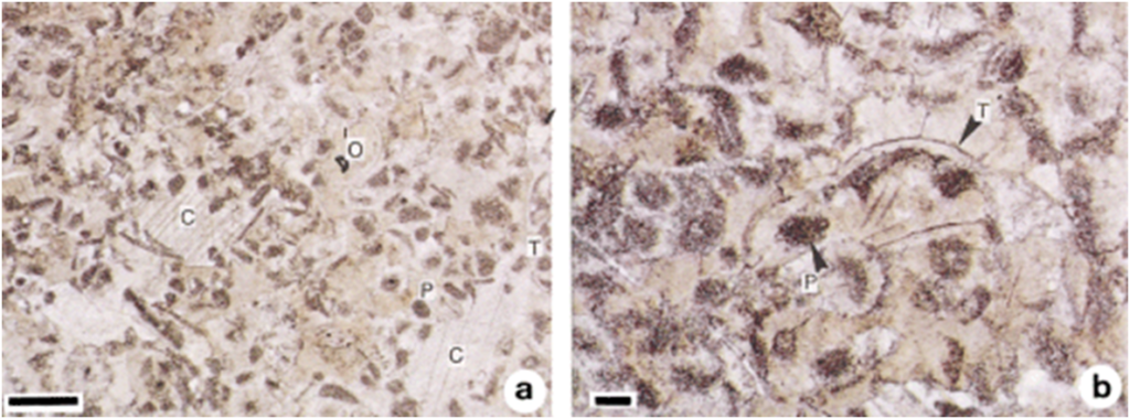
Was Mount Everest Once Under Water?

Left: Grainstone with skeletal grains of trilobite (T), crinoid (C), ostracod (O) and fecal pellets
(P). The bar is 1mm. Right: T trilobite fragments with the typical threefold arched shape. The bar is 0.1mm.

Around 200 million years ago, Gondwana Break up took place. The process carried some tectonics across what is now the Indian Ocean, creating a large shallow ocean with a rich ocean life. During the collision of Indian and Eurasian tectonic plates, heavier rocks were naturally pushed back down and lighter rocks such as limestone, sandstone were pushed upward, forming mountains. This is probably the reason why limestone, marble, shale, granite, pegmatite intrusions, and gneiss rock are found in sedimentary level of Mount Everest. I’m sure this makes one of the stunning facts of Mount Everest, isn’t it?

Was Mallory and Irvin the First Pair to Set Foot on Mount Everest?

A Cambridge Uni graduate, a Former British Army who fought during the First World War, and a passionate mountaineer George Mallory made 3rd attempt to climb Mount Everest in 1924. His climbing partner was his 22 years old protégé Andrew “Sandy” Irvine, who was known for his natural engineering acumen and passion for mountaineering. The pair had set off to the Mount Everest on June 8, 1924 from their camp at the altitude of 8,168m. They were never seen alive afterwards. Mallory’s body was discovered after 75 years on May 1999, but Irvine’s body is missing till date. The biggest riddle in the history of mountaineering is: Did Mallory and Irvine summit Everest? After Mallory’s body remains were identified; some evidences indicated that he successfully climbed the highest peak. His snow goggles were found in his pocket, which indicates that he might have fallen during sunset. Given the timeline, they would have been descending from the peak by the time sun sets. Also, the photo of Mallory’s wife was not found in his pocket, which he had promised his wife to leave at the peak of the Mount Everest when he summits. Since it is unclear whether the duo summited Mount Everest, we recognize Sir Edmund Hillary and Tenzing Norgay Sherpa as the first pair to successfully summit Mount Everest.

What Happens in Death Zone?

In mountaineering, Death Zone refers to the altitudes above a point where partial pressure of Oxygen (PO2) is lowered hence increasing the challenge of survival. In death zone, human body can not acclimatize, so body cells start to die and body starts to break down.  

Lungs and brain starve for oxygen. Blood can thicken and clot, lungs can accumulate fluid and victims can drown in their own fluid. With hypoxia, one can easily have a heart attack. Even the slightest light feels like needles in the eyes. Since brain lacks oxygen, the person can experience bizarre hallucinations. Most of the mountaineers use supplementary oxygen in death zone. In case of Mount Everest, Death Zone is where maximum number of mountaineers have succumbed to death. The reason: High altitude, thin air and brutal weather.

Everyone has their own Everest to climb in life. And Mount Everest demands a lot of courage, oddly, offering a lot of courage too. Do you plan to lay your eyes on the highest peak after reading these least talked about facts of Mount Everest? The mountain is calling you ….

Written By: Justina Syangden!

She is a Tourism and Hotel Management Graduate and is a producer and presenter of Radio Program on Tourism and Hospitality!

Tags: , , , ,

Triveni Dham and Valmiki Ashram in Nawalparasi

Link to Triveni Dham and Valmiki Ashram Tour

Devotees at Triveni Gajendramokshya Dham during Ekadasi Festival

Triveni Dham is a famous pilgrimage site in Nawalparasi at the confluence of three rivers; Narayani (Gandaki), Sona and Tamasa Rivers. This holy pilgrimage site is sacred as it is depicted in many holy books of Varaha, Himavat and the Skanda Puranas and mentioned in many plays and drama of Kalidas. He was a Classical Sanskrit Author and considered as ancient greatest playwright and dramatist. His plays and poetry are based on Vedas, Ramanayas, Mahabbharat and Purans. As legends say, Apsaras along with Gods and Goddess used to come from heaven to take bath at this holy river.

Just across the River, there is a famous Valmiki Ashram, where Adi Kavi Maharishi Valmiki who was thief earlier wrote Hindu Epic Book, Ramayana.  Valmiki Ashram is linked to Ramayana, where Sita was sent to exile by Rama and her two sons Lava and Kusha were born. This is also the same place where Sita returned to her mother earth and now famous as Sita Patal Temple.  She is the daughter of Vumi (Earth) and adopted by King Janaka of Janakpur, Mithila Kingdom. 

Remains at Valmiki Ashram related to Sita and her Sons, Lava and Kusha!

This place is linked with Gajendra Moksha or The Liberation of Gajendra; a Puranic legend from the 8th Skandha of the Bhagavata Purana, a sacred book in Hinduism. It is one of the famous exploits of the God Vishnu. In this episode, Vishnu came down to the earth to protect Gajendra, the elephant from the clutches of a Crocodile also known as Makara or Huhu. And with Vishnu’s help, Gajendra achieved Mokhsha or the liberation from cycle of birth and death. Gajendra then attained a form like that of god (Sarupya Mukti) and went to Vaikuntha (Heaven) with Vishnu.

Temple of Adi Kavi Maharishi Valmiki

In Triveni, there are many famous temples of Gajendra Moksha, Bhakteshwor, Laxmi Bainketeswara, Nagababakuti, Radha Krishna and the Kotihom Yajnashala.  There is Sisha Mahal which is famous for its artistic interior design made of glass and has idols of Lord Krishna and Radha. This place has been well managed with beautiful Gardens and now has the famous school for Sanskrit language.

Many pilgrims from Nepal and India come to this place to take a holy bath and perform pujas in the occasion of many festivals like Ekadashi, Purnima (Full Moon), Kumba Mela, Kartik Mela, Ram Navami, Beyas Holi, Chad and Buddha Jayanti and also performs the rituals related with death family members like Cremation, Shraddha, Priti darpan etc. Just near by the Dham, there is Ghat where dead bodies are burnt in a belief to get salvation

Sita Patal Temple where Sita returned to her mother earth

Apart from the Religious aspect, this place is equally famous for hiking, boating at Triveni River, Bird Watching and has beautiful well managed gardens. There are few local lodges as accommodation and is inhabited by mix culture of Brahmin, Chettri, Gurung, Magar and Local Tharu people.

With the Main Priest of the Temple at Sita Patal Temple

Triveni Dham lies around 20 km south east of Bardaghat Bazaar near Nepal India Border.  Separate way goes from west of Daunne Danda at Bardaghat and takes around 45 minutes drive. From Triveni Dham, we can boat to the other bank of the river and walk around 30 minutes to arrive at Valmiki Ashram. Valmiki Ashram is located inside Chitwan National Park in Nepal and the only way to visit Ashram is by the boat from Nepal side. The other way to get to Valmik Ashram is by crossing the Bridge over Gandak Barrage and enters India and drive through Valmiki Tiger Reserve. 

Boat at Triveni River to Valmiki Ashram

From Kathmandu, either we can drive to Bardaghat which is around 75 kms from Narayanghat and takes around 2 hours or fly to Bharatpur Airport and drive for 2 hours.  Also, you can fly to Bhairahawa Airport from Kathmandu and drive to Bardaghat which is around 40 kms and takes 1 hour.  From Barghat, the way goes through rice fileds and local Bazaars. Just before reaching Triveni, we drive alongside of water canal.

Written By: Gopi Chandra Bhusal, Alpine Holidays Pvt. Ltd

At Triveni Dham

Tengboche Monastery Trek

Samstag 28.9.2019 

Gopi erwartet uns schon am Flughafen und wir werden herzlich mit einem Blumenkranz begrüsst. Reto und Gopi kennen sich schon mehrere Jahre. Gopi hat für uns ein Taxi organisiert und wir werden in unser gebuchtes Hotel im Thamelgefahren. Für mich ist Nepal eine ganz neue Welt und ich staune über die vielen Menschen, Autos, Motorräder und lasse mich ein auf all diese neuen Eindrücke.Während Reto mir schon unendlich viele Geheimtipps im Thamel zeigt, kümmert sich Gopi um alle Formalitäten, welche für unser Trekking in der Khumbu Region wichtig sind.

30.September

um 05:00 werden wir von Gopi im Hotel abgeholt und fahren zum FlughafenKathmandu. Gegen 6:30 heben wir Richtung Lukla ab.Das Wetter spielt zum Glück mit. Die Prognose war bis gestern nicht so gut der Monsun hatte sich noch nicht verabschiedet. Heute ist alles wie frisch gewachsen und die Landschaft fantastisch, die Farben Vielfalt eine Wucht. In Lukla gelandet, hat Gopi ebenfalls alles perfekt schon für uns vorbereitet.

Unser Porter Robin holt uns ab und wir machen uns auf unsere erste Etappe. Da Reto schon mehr als 23 Mal in Nepal war, ist er ein super Guide und ich darf von seinen vielen Erfahrungen profitieren. Die erste Rast gibt’s nach ca. 40 Min. in Cheplung Lodge Natürlich kennt Reto den Besitzer ( Bruder von Phurba).

Gemütlich wandern wir weiter und ich übergebe den Kindern immer wieder Süssigkeiten und Plüschtierli.

In Benkar in der tibetischen Waterfall Lodge sind wir die einzigen Gäste. Nach 5Std Wanderung kommen wir just noch ohne Regenbekleidung an. Sobald wir es uns gemütlich gemacht haben, gibt es einen feinen Tee und der Ofen wird extra für uns eingeheizt. Unser Porter setzt sich zu uns und wir versuchen uns zu unterhalten.

Die wohlige Wärme in der Tibeter Stube lässt uns früh müde werden und gegen 21:00 gehen wir in das kalte Zimmer. Der nahe Wasserfall tönt, der Regen prasselt auf das Blechdach und der entfernte Bach lässt sich auch nicht überhören.

Der Regen hat nachgelassen und die Sonne kämpft zwar noch mit den Wolken aber es gelingt ihr zu scheinen,damit wir im Sonnenschein unsere 2. Etappe starten können.

  • 1.Oktober 2019

 Route: Benkar- Sagarmatha Gate- Namche

Trotz vieler Fotos erreichen wir das Gate zum Sagarmathe Nationalpark. Unser Permit hat Gopi schon im Voraus gekauft. Langsam schlägt das Wetter um,aber wir erreichen auch  wieder trocken unsere Lotg. Nach einer heissen Dusche lassen wir uns von der Mystik der Monastery verzaubern. Wir verhalten uns genauso ehrfürchtig wie die Nepali in den Räumlichkeiten der Monastery. Der Lama höchst persönlich überreicht uns eine Kata ( zeremonieller Glücksschal ) und wünscht uns ein langes Leben.

Nach dem Essen stecken wir unsere Wärmematratze an den Strom und gehen zum Schlummertrunk ins IrishPup.

  • 2.Oktober 2019

Namche- Everest View Hotel- Khumjung-Khunde Hospital-Syangboche- Namche

Namche verlassen wir bei strahlendem Wetter. Zuerst laufen wir zum

Flugplatz Syangboche. Der Nebel begleitet uns leider und beim

Everest View Hotel, das zwischen Namche und Khumjungliegt ,ist absolut kein Blick auf den Mount Everest zu erhaschen. Wir trinken einen Tee und machen uns weiter Richtung Khumjung, wo wir in viele glückliche Kinderaugen blicken können, nachdem wir sie mit Winterjacken, Rucksack, Plüschtiere, Sonnenbrille und Schokolade beschenken.

Nach diesen wunderschönen Begegnungen machen wir uns weiter zum Khunde Hospital, wo wir von Dr. med. Kamj mit einem Dal Bath erwartet werden. Er zeigt uns das sehr primitiv eingerichtete Hospital und wir übergeben ihm unsere Medizinischen Materialien. Nach dem Essen machen wir uns auf den ca. 3Stündigen Heimweg. Im Old Everest Museum erfahren wir etwas über die bekannten Bergsteiger. Das Museum ist jedoch schon etwas in desolatem Zustand und nicht unbedingt so interessant um lange zu verweilen. Wir übernachten nochmals im Hotel Namche.

  • 3.Oktober 2019

Namche- Kumjung- Dibusdibuche- Tengboche

Das schöne Wetter erleichtert uns das Laufen, doch bis wir in Tengboche ankommen, ist leider sehr dichter Nebel und wir sind froh, müssen wir nicht mehr aus der Himalaya Lotg. Die Bergwelt bleibt für uns am Abend verborgen.

SST—sr* 
لالللهالالإللإاي 
لآ 
-■■٤ n■■ 
m. 
صحتت( لا 
وا 
فحة »

4.Oktober 2019

Tengboche- Namche- Phakting

Wir stehen früh auf und dürfen bei klarem Wetter den höchsten Berg der Welt den Mount Everest bestaunen und bewundern. Traumhaft mitzuerleben wie die 8000er Bergwelt vom Sonnenlicht immer mehr belichtet wird und danach wieder von den Wolken und dem Nebel verdeckt wird. Ein richtiges Versteckspiel wird uns vorgeführt.

Die Monastery zeigte sich auch in fantastischen Farben dank dem blauen Himmel und der Morgensonne. Nach dem Frühstück verlassen wir Tengboche und machen uns auf den Weg nach Phakting.

Diese Etappe ist relativ lange und das Laufen gegen Abend in nebliger Umgebung löst in uns schon fast eine Trance aus. Nach ca. 10 stündigem Marsch erreichen wir die Royal Sherpa Lotg in Phakting.

 5.Oktober

Pakting-  Lukla

Nach dem Frühstück nehmen wir die letzten Kilometer und die letzten 4 Stunden unter die Füsse.Obwohl das Hindufest Dashain ist haben die Dorfkinder noch Schule und wir dürfen ins Schulzimmer. Natürlich verteilen wir Farbstifte und Schokolade, was bei den Kindern und den Lehrern sehr gut ankommt.

Wir werden herzlich verabschiedet und laufen weiter Richtung Lukla.

Ein Mädchen wandert mit uns mehr als 1 Stunde mit. Natürlich will sie uns ihr Haus zeigen da ihre Mutter eine kleine Gaststube hat.

Wir machen noch einen Stop bei den Felsen mit den Wildbienen Waben. Gegen 16:00 sind wir an unserem Ausgangspunkt zurück in Lukla.

Im Hotel Numbur beziehen wir unser Zimmer, welches Gopi für uns reserviert hat.

Nach einem Drink laufen wir zur Flugpiste, damit wir den startklaren Flieger fotografieren können. Doch plötzlich zieht Nebel auf und der Start wird abgebrochen. Für alle Passagiere gibt es eine Zusatznacht in Lukla. Natürlich sind auch wir gespannt ob wir Morgen wirklich starten können.

Kaum im Hotel wieder angekommen macht es schwups und überall Stromausfall.Mit Stirnlampe am Kopf gehen wir in die Tibetische Speisestube und bestellen unser Nachtessen.

6.Oktober  

Lukla-Ramechhad-Kathmandu

Früh morgens um 4:45 stehen wir auf und der Stromausfall hält immer noch an. Wir haben aber auch nicht viel im Zimmer ausgepackt und so sind unsere sieben Sachen wieder rasch versorgt.

Den Chef vom Hotel Numbur hat Gopi beauftragt uns beim check-in behilflich zu sein.Der Nebel und die Wolken hängen immer noch um Lukla und die Spannung wächst ob wir wirklich abfliegen können. Trotz 1 1/2 Std Verspätung können wir in den TARAFlieger einsteigen.

Wolken verhangen ist es immer noch, aber wir starten und knapp 20 Minuten später landen wir Ramechap.

Gopi hat uns bereits ein Minibus organisiert und wir werden durch staubige Bergstrassen chauffiert. Da Dashain Fest ist, sind sehr viele Autos, Busse und Motorräder unterwegs.

Danke Gopi für die Organisation, des tollen Trekkings. Alles hast du top vorbereitet.

Astrid und Reto aus der Schweiz

Boris Lisanevich, Founder of Royal Hotel

Today I came across an English article about Boris Lisanevich on Facebook – the message of the article was that the hospitality infrastructure of Nepal after the coronavirus will have to be restored from a clean leaf. And after all, a man started traveling to Nepal from, may Ukrainian friends, the Russian Empire forgive me.

′′ Everything I have in life, I owe the October Revolution ′′ – so Boris Lisanevich sentenced in November 1963, pouring white wine to the new Soviet astronauts – Valentina Tereshkova and Adriyana Nikolaev. The case happened in a bar called ′′ Like Yeti ′′ of the Royal Hotel, which was in Kathmandu, owned by Lisanevich.

Sounds fantasy, like Boris’s whole life. Judge yourself.

Boris Lisanevich was born in Odessa in 1905, to the family of a noble horse factory. According to the young nobleman, Boris was determined in the Cadet Corps when he was 9 years old. Then the October Revolution with the abolition of cadet corps and the persecution of nobles. The family had to hide Boris (suddenly! ) to ballet school. And, most interesting, Boris’s business in the ballet went surprisingly great. So much so that when Boris managed to go to Europe on tour in 1924, and more importantly – managed not to return to Russia and stay in Paris, he was taken to his troupe by the famous Diagilev. And not on dancers, but a soloist!

Boris went around the world with Diagileva troupe. But especially he was attracted to Southeast Asia. After the death of Dyagilev, Boris traveled several years, staying long in Hong Kong, then in Indonesia. I spent a couple of years in Burma – being a passionate hunter, such countries were an insurmountable temptation for him.

With many high-ranking friends around the world, in 1936 Boris opened Club 300 in Indian Kolkata, the first club in India to enter not only Europeans, but also Indian Maharajam. The club was highly popular, and Boris with his charm and organizational abilities strengthened his position. During the Second World War, the Club 300 served as a meeting and communication point of the military leaders (the Asian Theater of War was sovsexm near Kolkata), politicians, Indian elite. There were deals and agreements of world importance were reached. And in the center was, of course, Boris. There are rumors that Boris was a British spy, but for sure we don’t know.

Let’s throw a short look at Nepal at this time. Approximately 100 years in Nepal, the rules of the dynasty of Ran’s descendant prime ministers, suspended the kings of the Shah dynasty from power. Nepal under Ran, let’s say, didn’t prosper. Surrounded from the north of the Himalayas, and from the south, east and west of the jungle and swamps, the country has even more isolated from the world around.

In 1950, King Tribhuvan fled Nepal to find help and allies in the power struggle in Nepal. He was also in the Club 300 of Boris Lisanevich, where they met and became friends. Boris brought the king together with the right people and in 1951 the stars came together and King Tribhuvan regained power over Nepal.

The king did not forget his friends and invited Boris to visit Nepal with his family. Boris accepted the invitation – and then the stars came together again. Boris fell in love with Nepal once and for all. They say he fell in love after seeing a jaguar between the walls of Kathmandu houses. The country was so unique, hospitable and unlike anything seen by Boris that a) he moved here and b) began to call his friends and acquaintances here.

The king at first did not encourage entry tourism: ′′ Why does someone need to go to Nepal, we have neither skyscrapers, nor fast cars? Stupidity is all “. By the way, until 1956, there was no road to Kathmandu, all imports were delivered by airplanes or feet of porters across the mountains. Even the cars.

But the king is king, and Boris was unstoppable. Boris asked the king for a mansion and made a hotel for 40 rooms, calling it Royal. Next brought a group of travelers to Nepal. It should be noticed that in Nepal at that moment you could only get at the personal invitation of the king himself. The first tourists were absolutely delighted with the unique country. In the hall of the hotel Lisanevich arranged a fair of products of decorative and applied art, which guests bought completely. On the last day of the tour, the king came to greet the travelers and talk to them in person. The reviews of his country were so enthusiastic and inspiring that the king was there in the lobby of the first hotel in Nepal and signed a visa decree. From now on, anyone who wants to get to Nepal could get this very visa.

And then Boris turned around. He was the first to bring to Nepal and started growing strawberries, carrots, beets, salad, spinach, pigs and champagnes. He built a liquor plant. And managed to sit in jail for a couple of months because of this. He organized the coronation of Mahendra, the son of King Tribhuvan. He arranged the reception of Queen Elizabeth II and Prince Philip in Nepal. Hotel Royal became a place of amazing meetings – climbers, adventurers, travelers, world-scale stars, writers – the composition of guests was truly impressive. In 1960, the hotel Royal became one of the most unusual hotels in the world, and Boris himself became the second attraction of Nepal after Everest.

A few quotes from Michel Pessel’s book ′′ Tiger for Breakfast “:

About the establishment of the hotel Royal:′′ As for the service helping Indian staff brought by Boris, she had to be taught everything from scratch, because these people had no idea what a spoon was needed, how to put a plate or clean shoes.Boris patiently solved all these tasks. He also had to teach the service such unusual things as wearing shoes and hand washing. He also had to explain to them that you can’t use water from ′′ little white wells ′′ as they called the toilet “.

About preparation for the coronation of Mehendra:′′ Within three days, Boris ordered charter DS-3 days and night flew from Indian Patna to Kathmandu and back. It was a rather unusual air bridge, as the object of transport was six thousand living chickens, a thousand cesars, two thousand ducks, five hundred turkeys and a hundred geese. Along with them, one and a half tons of sleepy fish arrived, – to be truthfully sleepy – two tons of vegetables and, most strange, a couple of tons of ice! The trouble is, except for the eternal snow of the Himalayas, there was no ice factory in Nepal “.

About ′′ special projects “, in which Boris was directly involved:′′ Boris still has the gun ′′ Alka Zeltzer ′′ or ′′ Yeti “, given to him by Tom Slick’s Texas expedition. This unusual weapon was designed to sleep a ′′ monster “. Together with the gun, he was given two unmarked bottles, instructions for using the contents of which he unfortunately lost. One bottle contains a sleeping patch for the yeti, and in another, a stimulant for its awakening “.

On the organization of the visit of Elizabeth II and Prince Philip to Nepal:′′ All foreign cans were placed on elephants. Only at the disposal of the press there were a dozen of these animals, and six at Boris’s direction served as Yak and Yeti’s away bars. These elephant bars, where Inger and other girls sat as a bartender, served guests during the hunt, having had a place to be held as a bartender. full set of drinks from beer to ice champagne “.…′′

As Their Majesties were preparing to leave the camp, Boris proposed to build all the elephants in one line on the way of guests. It took a while, causing some delay in departure, but the scene unfolding in front of the eyes of high guests was worth it. There hasn’t been a hunt throughout history, and probably never again, such an unseen sight when 376 powerful, chicly cleaned and painted elephants with gold and silver platforms on their backs formed a live line on their way from camp to plane and in turn they raised hobots, salute the queen passing by them “.Good book, highly recommend.

Despite the staggering activity and a huge number of projects, Boris had no accumulations. He himself said that he spends a little bit more in his life than he earns “. Now Kathmandu about Boris Lisanevich reminds me of several things – this is a five-star hotel Yak & Yeti, which inherited the name from the bar restaurant in the hotel Royal, and the monument to Boris, located at the entrance to the Nepal Tourism Board – Nepal Tourism Office.

For a long time I thought what fate in this world I would like to live. And only after reading the wonderful book ′′ Tiger for Breakfast ′′ by Michel Pissel, I realized that now they will be called my idol – Boris Lisanevich.

Boris’s son, Alex, was doing antiques and was in an interesting time. In the 60-70 s of the 20th century in the neighbor’s Nepal Tibete, China put in order. Whole Buddhist temples-settlements were looted and sold at drop prices. For rare lucky people, it was an opportunity to touch Boris and his family’s history in Kathmandu – to visit his home. Unfortunately, I didn’t catch Boris himself (died in 1985), nor Alex. My guide was Alex’s widow – Kabita Lisanevich. In the house of Lisanevich everyone will find a treasure for themselves – for someone it’s the book ′′ Seven Years in Tibet ′′ by Henry Harrer with the gift signature of the author Boris Lisanevich, and for someone Tibetan tanks (Tibetan religious painting) of 14-15 centuries.Until very recently, you could have a delicious lunch or dinner at a nice expat restaurant ′′ Gnutaya Fork “, which was already owned by Boris’s grandchildren – but unfortunately, a year ago, the restaurant closed for reconstruction when it opens – it’s not clear.This is the story I had for you. Have a great day !

Written By: Mr. Leonid Myasnikov- Regional Representative for Russia at Nepal Tourism Board

Mardi Base Camp Trek,Once in a Lifetime Experience

I am a travel enthusiast and I never leave a chance to explore different places. I am more into exploring nature, in love with hills, mountains and lakes. Being in the hospitality industry, its actually important for me to have knowledge about the touristic and adventure destination of the country.

During our Mardi Trek

I along with some of my friends decided to do Mardi Himal Trek and we fixed the dates and outlined the itinerary. After doing some research on the internet and consultation with some of the travel expert friends, we had chosen this trek as we were told that this is a short trek and not very difficult but absolutely rewarding in comparison to other treks. We were 8 friends, everyone very excited for this amazing trek and actually this was the highest altitude for all of us that we had ever been to. We did our necessary preparations, bought the essentials and finally the day arrived i.e 20th March 2020. We took the flight to Pokhara and from the Pokhara Airport; we took the vehicle up to Kande and started our trek from there.

To our amaze, the trek turned out to be the best travel experience for all of us. It is a hidden gem in the Annapurna region.  This is one of the shortest trek but one will reach at the height of 4500 meters in just the matter of 4 days.During the 5 days Mardi Himal Trek, we walked through different uphill and downhill of the Annapurna region witnessing some of the amazing creation of nature. The views were breathtaking, the mountains were majestic and the walks through jungles were as adventurous as it could be.

Trail be like….
At High Camp
At High Camp

Imagine the beauty of sunset over the Mt. Machhapuchre and the sunrise over the mountains while waking up from the Rest Camp experiencing the chilling cold weather. This is indeed a lifetime experience. On the way, you encounter the Rhododendrons (national flower of Nepal) while walking through the forests, also get to witness the Yaks grazing on the ground.  Among different birds, we also saw Pheasants (national bird of Nepal). We were amazed by the beauty of so many beautiful snowcapped mountains from the upper viewpoint at 4200 meter. It had surreal view of South Annapurna (7219 m), Hiuchuli (6444m), and Annapurna I (8091m), Annapurna III (7555m), Machhapuchhre (6993m) and Mardi (5587m). The view was beyond magical. I definitely recommend the Mardi Himal Trek for all the adventure seekers who have very less time to explore but want to have the best trekking experiences wondering the beauty of nature and have the lifetime experience.  Refer below for the itinerary that we followed for this trek:-

Day 1: Pokhara, Kande , Australian Camp, Pothana (1890m) to Pritam Deurali (2100m)

Day 2: Pitam Deurali to Forest Camp (2600m)

Day 3: Forest Camp to High Camp (3550m)

Day 4: High Camp to Mardi Base Camp (4500m) & back to Forest Camp to Lwang Village (1550m)

Day 5:  Lwang Ghalel Village to Pokhara

Annapurna South and Hiuchuli in the background
On the way to Mardi Upper View Point

The most interesting thing is that during our last day descending down to Pokhara from Lwang Village (about 30 km northwest of Pokhara). We stayed at Ghalel home stay, the best home stay during our whole journey; it was very organized and very hospitable hosts along with the undisturbed view of Mt. Machhapuchhre. We had to walk for about 35 kilometers to reach Pokhara because the lockdown had started in Nepal from that very day in context with the Covid 19. So, all of us mutually decided that we will walk up to Pokhara. We started to walk from the morning 8 after breakfast and reached to the hotel in Pokhara at 8 in the evening. We were completely exhausted but all those beautiful experiences and memories made us forget our entire physical struggle. This indeed was the best trip of my life.

In Pokhara, after Completing Mardi Himal Base Camp Trek
Niraj Shrestha

Written By: Niraj Shrestha, Sales Manager at Hotel Yak and Yeti, Kathmandu

Tengboche Monastery Trek

Samstag 28.9.2019 

Gopi erwartet uns schon am Flughafen und wir werden herzlich mit einem Blumenkranz begrüsst. Reto und Gopi kennen sich schon mehrere Jahre. Gopi hat für uns ein Taxi organisiert und wir werden in unser gebuchtes Hotel im Thamelgefahren. Für mich ist Nepal eine ganz neue Welt und ich staune über die vielen Menschen, Autos, Motorräder und lasse mich ein auf all diese neuen Eindrücke.Während Reto mir schon unendlich viele Geheimtipps im Thamel zeigt, kümmert sich Gopi um alle Formalitäten, welche für unser Trekking in der Khumbu Region wichtig sind.

30.September

um 05:00 werden wir von Gopi im Hotel abgeholt und fahren zum FlughafenKathmandu. Gegen 6:30 heben wir Richtung Lukla ab.Das Wetter spielt zum Glück mit. Die Prognose war bis gestern nicht so gut der Monsun hatte sich noch nicht verabschiedet. Heute ist alles wie frisch gewachsen und die Landschaft fantastisch, die Farben Vielfalt eine Wucht. In Lukla gelandet, hat Gopi ebenfalls alles perfekt schon für uns vorbereitet.

Unser Porter Robin holt uns ab und wir machen uns auf unsere erste Etappe. Da Reto schon mehr als 23 Mal in Nepal war, ist er ein super Guide und ich darf von seinen vielen Erfahrungen profitieren. Die erste Rast gibt’s nach ca. 40 Min. in Cheplung Lodge Natürlich kennt Reto den Besitzer ( Bruder von Phurba).

Gemütlich wandern wir weiter und ich übergebe den Kindern immer wieder Süssigkeiten und Plüschtierli.

In Benkar in der tibetischen Waterfall Lodge sind wir die einzigen Gäste. Nach 5Std Wanderung kommen wir just noch ohne Regenbekleidung an. Sobald wir es uns gemütlich gemacht haben, gibt es einen feinen Tee und der Ofen wird extra für uns eingeheizt. Unser Porter setzt sich zu uns und wir versuchen uns zu unterhalten.

Die wohlige Wärme in der Tibeter Stube lässt uns früh müde werden und gegen 21:00 gehen wir in das kalte Zimmer. Der nahe Wasserfall tönt, der Regen prasselt auf das Blechdach und der entfernte Bach lässt sich auch nicht überhören.

Der Regen hat nachgelassen und die Sonne kämpft zwar noch mit den Wolken aber es gelingt ihr zu scheinen,damit wir im Sonnenschein unsere 2. Etappe starten können.

  • 1.Oktober 2019

 Route: Benkar- Sagarmatha Gate- Namche

Trotz vieler Fotos erreichen wir das Gate zum Sagarmathe Nationalpark. Unser Permit hat Gopi schon im Voraus gekauft. Langsam schlägt das Wetter um,aber wir erreichen auch  wieder trocken unsere Lotg. Nach einer heissen Dusche lassen wir uns von der Mystik der Monastery verzaubern. Wir verhalten uns genauso ehrfürchtig wie die Nepali in den Räumlichkeiten der Monastery. Der Lama höchst persönlich überreicht uns eine Kata ( zeremonieller Glücksschal ) und wünscht uns ein langes Leben.

Nach dem Essen stecken wir unsere Wärmematratze an den Strom und gehen zum Schlummertrunk ins IrishPup.

  • 2.Oktober 2019

Namche- Everest View Hotel- Khumjung-Khunde Hospital-Syangboche- Namche

Namche verlassen wir bei strahlendem Wetter. Zuerst laufen wir zum

Flugplatz Syangboche. Der Nebel begleitet uns leider und beim

Everest View Hotel, das zwischen Namche und Khumjungliegt ,ist absolut kein Blick auf den Mount Everest zu erhaschen. Wir trinken einen Tee und machen uns weiter Richtung Khumjung, wo wir in viele glückliche Kinderaugen blicken können, nachdem wir sie mit Winterjacken, Rucksack, Plüschtiere, Sonnenbrille und Schokolade beschenken.

Nach diesen wunderschönen Begegnungen machen wir uns weiter zum Khunde Hospital, wo wir von Dr. med. Kamj mit einem Dal Bath erwartet werden. Er zeigt uns das sehr primitiv eingerichtete Hospital und wir übergeben ihm unsere Medizinischen Materialien. Nach dem Essen machen wir uns auf den ca. 3Stündigen Heimweg. Im Old Everest Museum erfahren wir etwas über die bekannten Bergsteiger. Das Museum ist jedoch schon etwas in desolatem Zustand und nicht unbedingt so interessant um lange zu verweilen. Wir übernachten nochmals im Hotel Namche.

  • 3.Oktober 2019

Namche- Kumjung- Dibusdibuche- Tengboche

Das schöne Wetter erleichtert uns das Laufen, doch bis wir in Tengboche ankommen, ist leider sehr dichter Nebel und wir sind froh, müssen wir nicht mehr aus der Himalaya Lotg. Die Bergwelt bleibt für uns am Abend verborgen.

SST—sr* 
لالللهالالإللإاي 
لآ 
-■■٤ n■■ 
m. 
صحتت( لا 
وا 
فحة »

4.Oktober 2019

Tengboche- Namche- Phakting

Wir stehen früh auf und dürfen bei klarem Wetter den höchsten Berg der Welt den Mount Everest bestaunen und bewundern. Traumhaft mitzuerleben wie die 8000er Bergwelt vom Sonnenlicht immer mehr belichtet wird und danach wieder von den Wolken und dem Nebel verdeckt wird. Ein richtiges Versteckspiel wird uns vorgeführt.

Die Monastery zeigte sich auch in fantastischen Farben dank dem blauen Himmel und der Morgensonne. Nach dem Frühstück verlassen wir Tengboche und machen uns auf den Weg nach Phakting.

Diese Etappe ist relativ lange und das Laufen gegen Abend in nebliger Umgebung löst in uns schon fast eine Trance aus. Nach ca. 10 stündigem Marsch erreichen wir die Royal Sherpa Lotg in Phakting.

 5.Oktober

Pakting-  Lukla

Nach dem Frühstück nehmen wir die letzten Kilometer und die letzten 4 Stunden unter die Füsse.Obwohl das Hindufest Dashain ist haben die Dorfkinder noch Schule und wir dürfen ins Schulzimmer. Natürlich verteilen wir Farbstifte und Schokolade, was bei den Kindern und den Lehrern sehr gut ankommt.

Wir werden herzlich verabschiedet und laufen weiter Richtung Lukla.

Ein Mädchen wandert mit uns mehr als 1 Stunde mit. Natürlich will sie uns ihr Haus zeigen da ihre Mutter eine kleine Gaststube hat.

Wir machen noch einen Stop bei den Felsen mit den Wildbienen Waben. Gegen 16:00 sind wir an unserem Ausgangspunkt zurück in Lukla.

Im Hotel Numbur beziehen wir unser Zimmer, welches Gopi für uns reserviert hat.

Nach einem Drink laufen wir zur Flugpiste, damit wir den startklaren Flieger fotografieren können. Doch plötzlich zieht Nebel auf und der Start wird abgebrochen. Für alle Passagiere gibt es eine Zusatznacht in Lukla. Natürlich sind auch wir gespannt ob wir Morgen wirklich starten können.

Kaum im Hotel wieder angekommen macht es schwups und überall Stromausfall.Mit Stirnlampe am Kopf gehen wir in die Tibetische Speisestube und bestellen unser Nachtessen.

6.Oktober  

Lukla-Ramechhad-Kathmandu

Früh morgens um 4:45 stehen wir auf und der Stromausfall hält immer noch an. Wir haben aber auch nicht viel im Zimmer ausgepackt und so sind unsere sieben Sachen wieder rasch versorgt.

Den Chef vom Hotel Numbur hat Gopi beauftragt uns beim check-in behilflich zu sein.Der Nebel und die Wolken hängen immer noch um Lukla und die Spannung wächst ob wir wirklich abfliegen können. Trotz 1 1/2 Std Verspätung können wir in den TARAFlieger einsteigen.

Wolken verhangen ist es immer noch, aber wir starten und knapp 20 Minuten später landen wir Ramechap.

Gopi hat uns bereits ein Minibus organisiert und wir werden durch staubige Bergstrassen chauffiert. Da Dashain Fest ist, sind sehr viele Autos, Busse und Motorräder unterwegs.

Danke Gopi für die Organisation, des tollen Trekkings. Alles hast du top vorbereitet.

Astrid und Reto aus der Schweiz

Langtang and Gosaikunda Trek-Mountain Call for Fifteen

We started our journey in a group of fifteen friends .Our enthusiasm and excitement for this adventure was at point. After all, we just had our thesis, those sleepless night, jury has came to an end so this call from one of the Himalayas of Nepal, Langtang Region was a much needed break for every one of us.

We started our journey with 6-7 hours drive from Kathmandu to Syaprubesi. We planned to start our journey the same day with little warm up of 4-5 hours reaching to our accommodation for the day in Khamjing.

Second day started with every all of us giggling around, messing around, and having breakfast in the hills with sounds of horses nearby in the yard. We then took up our bag, hold the stick, wore the cap and started our walk from Khamjing to a target of River side. As we were in a large group, we always ended up splitting in more groups, so we used to mention a spot before our walk, to wait for every people to come by and that acted as our lunch and rest spot. After hours of walk, Nepali thali served with such authenticity and local taste is all to set your tummy a happy energy. You will find food so yummy yet simple during any trek. You should also be ready for the facts that the shop have limited number of electricity so better use your electrical gadget in proper way.

We always managed to look after everyone of our friends,and walk and decide the spot accordingly for accommodation. A long muddy way when provides you with a surprising grassland out of no where in the middle of your heavy walk, those spaces just brighten you up mean while during night times, we all will walk more together having  quality time through singing, eating and walking. Seeing your final spot of the day sets you relaxed. Everyone will come round to a born fire with balms, ointment relaxing one another muscular pain. During any trek, a proper mindset which says to live and bare in any condition you are provided must be made. We managed to stay outdoors as rooms were all occupied in some station but had the most amazing experience to recall.

From river side to kyanjinggomba, as it differs in altitude, we must walk making our body adapt to air and environment. We had our lunch in langtang valley and headed to KyanjingGomba, Unaware of the altitude sickness, we kept walking without adapting our body, I guess after all we have seen wider and flat path since days, so in a hust we kept walking. This hustle made some of my friends experience altitude sickness so we managed to take them back running to langtang valley. While another group of our team has managed to reach to Kyanjinggompa. During our hustle and run, we experience  white drops, white cottons coming all by from the sky. Some of us experienced snow for the first time, that snow let us forget the leg pain, sickness and everything in a minute.

Next day me and our group of friends walked from langtang valley to kyanjinggomba,to reach to our friends. Hospitality and help offered from local were always appreciated at that point , from stabilizing our altitude sick friend to contacting our other group of friends. Reaching to kyanjing seeing rivers, mountain all took our pain and struggle away. We met our friends, took a hike to kyanjingri and stayed the night in kyanjinggomba. We were lucky enough to catch up the Sherpa wedding in the same day. Experiencing different culture during any travel gives you immense satisfaction. We spent our night there dancing , playing, giggling around. All  walks were made worth it by the environment of kyanjing.

Idea of trek which excited us at beginning, the same trek after it is done memorize us with it’s lots of areas.We got to see,learn and explore  cultures that are still unknown to us , interacting and making new friends. Most importantly the peace and calmness which lead us to journey was obtained in a extend. We got to see different behavior patterns of nature through out our journey ; majestic mountain all covered in snow in rainy day to shattered snow in hills in a sunny day, grassland to some ground place,  from rivers to glacier, Mother nature showed us different pattern of her existence. And most importantly, we 15 friends learnt more to a team  work and gifted which so much of memory that will excite us for another trek in coming time.

Written By: Aakriti Nepal, Architect Engineer

Buddhism

Buddhism is a tradition that focused on personal spiritual development based on original teachings of Buddha. It is a path of practice and spiritual development leading to Insight into the true nature of reality. Buddhism is a practice through meditation which changes you in order to develop the qualities of awareness, kindness and wisdom. It is practice of overcoming of suffering and cycle of death and rebirth either by the attainment of Nirvana or through the path of Buddha wood. Let’s discuss some points to get more insight of Buddhism.

THE BUDDHA

Buddhism was started with Buddha. The word Buddha is a title which means one who is awake in the sense of having wakened up in to the reality.

Buddha was born in 623 BC as Prince Siddhartha Gautama. He was son of King Suddhodhan and Queen MahaMaya (Maya Devi) of the ancient Shakya kingdom Kapilavastu of Nepal. He left his palace and went to Bodhgaya to find the meaning of life and meditated for many years and got enlightenment. Saarnath is the place where he gave his first teaching and he got Mahaparinirvana (Death) at Kusinagar.

Four Noble Truths- Dukha and It’s Ending

1. The Truth of Suffering (दुःख)

2. The Truth of the Origin of Suffering (समुदय)

3. The truth of the Cessation of Suffering (निरोध)

4. The Truth of the Path to the Cessation of Suffering (मार्ग)

The Four Truths express the basic orientation of Buddhism: we Crave (तृष्णा) and cling to impermanent states and things, which is Dukkha, “incapable of satisfying” and painful. This keeps us caught in Saṃsara (संसार), the endless cycle of repeated Rebirth, Dukkha and dying again. But there is a way to liberation from this endless cycle to the state of Nirvana ( निर्वाण ), namely following the Noble Eightfold Path ( आर्याष्टाङगमार्ग ).

The truth of Dukkha is the basic insight that life in this mundane world, with its clinging and craving to impermanent states and things is Dukkha, and unsatisfactory. Dukkha can be translated as “incapable of satisfying,” the unsatisfactory nature and the general insecurity of all conditioned phenomena”; or “Painful.” Dukkha is most commonly translated as “Suffering,” but this is inaccurate, since it refers not to episodic suffering, but to the intrinsically unsatisfactory nature of temporary states and things, including pleasant but temporary experiences. We expect happiness from states and things which are impermanent, and therefore cannot attain real happiness.

In Buddhism, Dukkha ( दुःख) is one of the three marks of Existence ( त्रिलक्षण ), along with Impermanence ( अनित्य ) and Non-Self ( अनात्मा ). Buddhism, like other major religions, asserts that everything is impermanent ( अनित्य ), but, unlike them, also asserts that there is no permanent self or soul in living beings (अनात्मा). The ignorance or misperception ( अविद्या ) that anything is permanent or that there is self in any being is considered a wrong understanding, and the primary source of clinging and Dukkha.

Dukkha arises when we crave and cling to these changing phenomena. The clinging and craving produces karma, which ties us to Samsara, the round of death and rebirth. Craving includes kama-tanha, craving for sense-pleasures; bhava-tanha, craving to continue the cycle of life and death, including rebirth; and vibhava-tanha, craving to not experience the world and painful feelings.

Dukkha ceases, or can be confined, when craving and clinging cease or are confined. This also means that no more karma is being produced, and rebirth ends. Cessation is nirvana, “blowing out,” and peace of mind.

By following the Buddhist path to Moksha, Liberation, one starts to disengage from craving and clinging to impermanent states and things. The term “Path” is usually taken to mean the Noble Eightfold Path, but other versions of “the path” can also be found in the Nikayas. The Theravada tradition regards insight into the four truths as liberating in itself.

Noble Eightfold Path (The Buddha Path) (आर्याष्टाङगमार्ग)

This Eightfold Path is the fourth of the Four Noble Truths, and asserts the path to the cessation of Dukkha (suffering, pain, and dissatisfaction). The path teaches that the way of the enlightened ones stopped their craving, clinging and karmic accumulations, and thus ended their endless cycles of rebirth and suffering.

In brief, the eight elements of the path are: (1) Correct View (सम्यक दृष्टि), an accurate understanding of the nature of things, specifically the Four Noble Truths. The belief that there is an afterlife and not everything ends with death, that Buddha taught and followed a successful path to nirvana. The right view is held in Buddhism as a belief in the Buddhist principles of karma and rebirth, and the importance of the Four Noble Truths and the True Realities, (2) Correct Intention (सम्यक संकल्प) , avoiding thoughts of attachment, hatred, and harmful intent. For monks, giving up home and adopting the life of a religious mendicant in order to follow the path that leads to peaceful renunciation, into an environment of non-sensuality, non-ill-will (to loving kindness), away from cruelty (to compassion), (3) Correct speech (सम्यक वाच) , refraining from verbal misdeeds such as lying, divisive speech, harsh speech, and senseless speech. No lying, no rude speech, no telling one person what another says about him, speaking that which leads to salvation, (4) Correct Action (सम्यक कर्म) , refraining from physical misdeeds such as killing, stealing, and sexual misconduct. No killing or injuring, no taking what is not given; no sexual acts in monastic pursuit. For lay Buddhists no sensual misconduct such as sexual involvement with someone married, or with an unmarried woman protected by her parents or relatives, (5) Correct Livelihood (सम्यक आजीवन), avoiding trades that directly or indirectly harm others, such as selling slaves, weapons, animals for slaughter, intoxicants, or poisons. For monks, beg to feed, only possessing what is essential to sustain life. For lay Buddhists, the canonical texts state right livelihood as abstaining from wrong livelihood, explained as not becoming a source or means of suffering to sentient beings by cheating them, or harming or killing them in any way, (6) Correct Effort (सम्यक व्यायाम), abandoning negative states of mind that have already arisen, preventing negative states that have yet to arise, and sustaining positive states that have already arisen. Guard against sensual thoughts and other disruptive thoughts preventing unwholesome states that disrupt meditation, (7) Correct Mindfulness (सम्यक स्मृति), Not being absent minded, always being conscious of what one is doing; this encourages mindfulness about impermanence of the body, feelings and mind. Having awareness of body, feelings, thought and phenomena (the constituents of the existing world), and (8) Correct Concentration (सम्यक समाधि), Correct meditation or concentration (dhyana) ,single-mindedness.

The Cycle of Rebirth

Samsara ( संसार )

Saṃsāra means “wandering” or “world”, with the connotation of cyclic, circuitous change. It refers to the theory of rebirth and “cyclicality of all life, matter, and existence”, a fundamental assumption of Buddhism, as with all major Indian religions. Samsara in Buddhism is considered to be Dukkha, unsatisfactory and painful, perpetuated by desire and ignorance (avidya), and the resulting karma.

The theory of rebirths, and realms in which these rebirths can occur, is extensively developed in Buddhism, in particular Tibetan Buddhism with its wheel of existence (Bhavacakra) doctrine. Liberation from this cycle of existence, nirvana, has been the foundation and the most important historical justification of Buddhism.

The later Buddhist texts assert that rebirth can occur in six realms of existence, namely three good realms (heavenly, demi-god, human) and three evil realms (animal, hungry ghosts, hellish). Samsara ends if a person attains Nirvana, the “blowing out” of the desires and the gaining of true insight into impermanence and non-self reality.

Rebirth

Rebirth refers to a process whereby beings go through a succession of lifetimes as one of many possible forms of sentient life, each running from conception to death. In Buddhist thought, this rebirth does not involve any soul, because of its doctrine of anattā ( अनात्मा ) (no-self ), which rejects the concepts of a permanent self or an unchanging, eternal soul, as it is called in Hinduism and Christianity. According to Buddhism there ultimately is no such thing as a self in any being or any essence in any thing.

The Buddhist traditions have traditionally disagreed on what it is in a person that is reborn, as well as how quickly the rebirth occurs after each death. Some Buddhist traditions assert that “no self” doctrine means that there is no perduring self, but there is inexpressible ( अवाच्य ) self which migrates from one life to another. The majority of Buddhist traditions, in contrast, assert that vijñāna ( विञ्ञाण ) ( विज्ञान) ( a person’s consciousness) though evolving, exists as a continuum and is the mechanistic basis of what undergoes rebirth, rebecoming and redeath. The rebirth depends on the merit or demerit gained by one’s karma, as well as that accrued on one’s behalf by a family member.

Each rebirth takes place within one of five realms according to Theravadins, or six according to other schools – s heavenly, demi-gods, humans, animals, hungry ghosts and hellish.

In East Asian and Tibetan Buddhism, rebirth is not instantaneous, and there is an intermediate state (Tibetan “bardo”) between one life and the next. The orthodox Theravada position rejects the wait, and asserts that rebirth of a being is immediate. However there are passages in the Samyutta Nikaya of the Pali Canon that seem to lend support to the idea that the Buddha taught about an intermediate stage between one life and the next.

Karma

In Buddhism, karma (from Sanskrit: “action, work”) drives saṃsāra – the endless cycle of suffering and rebirth for each being. Good, skilful deeds (Pāli: kusala) and bad, unskilful deeds (Pāli: akusala) produce “seeds” in the unconscious receptacle ( आलय ) (ālaya) that mature later either in this life or in a subsequent rebirth. The existence of karma is a core belief in Buddhism, as with all major Indian religions, it implies neither fatalism nor that everything that happens to a person is caused by karma.

A central aspect of Buddhist theory of karma is that intent (chetanā) matters and is essential to bring about a consequence or ( फल ) “fruit” or ( विपाक) “result”. However, good or bad karma accumulates even if there is no physical action, and just having ill or good thoughts creates karmic seeds; thus, actions of body, speech or mind all lead to karmic seeds. In the Buddhist traditions, life aspects affected by the law of karma in past and current births of a being include the form of rebirth, realm of rebirth, social class, character and major circumstances of a lifetime. It operates like the laws of physics, without external intervention, on every being in all six realms of existence including human beings and gods.

A notable aspect of the karma theory in Buddhism is merit transfer. A person accumulates merit not only through intentions and ethical living, but also is able to gain merit from others by exchanging goods and services, such as through dāna (charity to monks or nuns). Further, a person can transfer one’s own good karma to living family members and ancestors.

Liberation

Moksha and Nirvana (Buddhism)

The cessation of the kleshas ( क्लेश )and the attainment of nirvana ( निर्वाण ), with which the cycle of rebirth ends, has been the primary and the soteriological goal of the Buddhist path for monastic life since the time of the Buddha. The term “path” is usually taken to mean the Noble Eightfold Path, but other versions of “the path” can also be found in the Nikayas.

Nirvana literally means “blowing out, quenching, and becoming extinguished”. In early Buddhist texts, it is the state of restraint and self-control that leads to the “blowing out” and the ending of the cycles of sufferings associated with rebirths and redeaths. Many later Buddhist texts describe nirvana as identical with anatta with complete “emptiness, nothingness”. In some texts, the state is described with greater detail, such as passing through the gate of emptiness (sunyata) – realizing that there is no soul or self in any living being, then passing through the gate of signlessness (animitta) – realizing that nirvana cannot be perceived, and finally passing through the gate of wishlessness (अप्रणिहित) – realizing that nirvana is the state of not even wishing for nirvana.

The nirvana state has been described in Buddhist texts partly in a manner similar to other Indian religions, as the state of complete liberation, enlightenment, highest happiness, bliss, fearlessness, freedom, permanence, non-dependent origination, unfathomable, and indescribable. It has also been described in part differently, as a state of spiritual release marked by “emptiness” and realization of non-self.

While Buddhism considers the liberation from samsara as the ultimate spiritual goal, in traditional practice, the primary focus of a vast majority of lay Buddhists has been to seek and accumulate merit through good deeds, donations to monks and various Buddhist rituals in order to gain better rebirths rather than nirvana.

VEHICLES OF BUDDHISM

  1. Theravada
  2. Mahayana
  3. Bajrayana

Theravada

Theravada (Pali: thera “elders” + vada “word, doctrine”), the “Doctrine of the Elders,” is the name for the school of Buddhism that draws its scriptural inspiration from the Pali Canon, or Tipitaka, which scholars generally accept as the oldest record of the Buddha’s teachings.

Theravāda developed as a distinct school of early Buddhism in Sri Lanka and subsequently spread to the rest of Southeast Asia. It is the dominant religion in Cambodia, Laos, Myanmar, Sri Lanka, and Thailand and is practiced by minorities in India, Bangladesh, China, Nepal, and Vietnam. Today, Theravada Buddhists number over 100 million world-wide. In recent decades Theravada has begun to take root in the West — primarily in Europe, Australia and the USA.

For over a millennium, Theravādins have endeavored to preserve the dhamma as recorded in their school’s texts. In contrast to Mahāyāna and Vajrayāna, Theravāda tends towards conservative doctrine and monastic discipline.

Mahayena

Mahayena ( महायान )”Great Vehicle”) is one of two main existing branches of Buddhism (the other being Theravada) and a term for classification of Buddhist philosophies and practice. This movement added a further set of discourses, and although it was initially small in India, it had long-term historical significance. The Buddhist tradition of Vajrayana is sometimes classified as a part of Mahāyāna Buddhism, but some scholars consider it to be a different branch altogether.

“Mahayena” also refers to the path of the Bodhisattva seeking complete enlightenment for the benefit of all sentient beings, also called “Bodhisattvayāna”, or the “Bodhisattva Vehicle”. A bodhisattva who has accomplished this goal is called a samyaksaṃbuddha (सम्यक्सम्बुद्ध), or “fully enlightened Buddha”. A samyaksaṃbuddha can establish the Dharma and lead disciples to enlightenment. Mahayena Buddhists teach that enlightenment can be attained in a single lifetime, and this can be accomplished even by a layperson.

Vajrayana

Vajrayana, (Sanskrit: “Thunderbolt Vehicle” or “Diamond Vehicle”) form of Tantric Buddhism that developed in India and neighbouring countries, notably Tibet. Vajrayana, in the history of Buddhism, marks the transition from Mahayana speculative thought to the enactment of Buddhist ideas in individual life. The term vajra (Sanskrit: “thunderbolt,” or “diamond”) is used to signify the absolutely real and indestructible in a human being, as opposed to the fictions an individual entertains about himself and his nature; yana is the spiritual pursuit of the ultimately valuable and indestructible.

The Vajrayana is not a separate vehicle from Mahayana, but actually belongs within Mahayana as a distinctive vehicle of skilful means.

CONCLUSION

There are so many aspects or ways of practicing Buddhism as we discussed earlier. It does not include the idea of worshipping a creator god, some people do not see it as a religion in the normal, and rather it is a practice. The basic tenets of Buddhist teaching are straightforward and practical, nothing is fixed or permanent, actions have consequences, and change is possible. So Buddhism addresses itself to all people irrespective of race, nationality, caste, sexuality, or gender. It teaches practical methods which enable people to realize and use its teachings in order to transform their experience, to be fully responsible for their lives and to the path of peace and non violence.

Kathmandu Durbar Square;Earthquake and Reconstruction

Taleju Temple

Welcome to Kathmandu. Kathmandu, which has been the center of administration since time immemorial is also a center of cultural, social and historical amalgam. As the name suggests, “Kath” means wood and “mandu” comes from a word “mandapa” which means a pavilion. Kathmandu, hence is said to have got its name from Kasthamandap (Maru satta:), which used to be a public pavilion, believed to have been made out of single tree and also the oldest heritage structure standing before devastating earthquake 2015 took it down to ground.

On April 25th, 2015 at 11:56 am local time, a massive earthquake hit Nepal with its epicenter in Gorkha and several powerful aftershocks as well another huge earthquake followed. According to National Society for Earthquake Technology-Nepal (NSET), it is the most powerful disaster to strike Nepal since the 1934 Nepal-Bihar earthquake. This disaster caused massive damage to human lives, with 9000 death toll and nearly 22000 injured. The disaster obviously didn’t spare the precious architectural and cultural assets and turned them into ruins.

According to the preliminary report of Department of Archaeology, a responsible government agency for protection, conservation and management of the cultural heritage of Nepal, 745 monuments in all over Nepal were affected by the earthquake, out of which 133 were totally collapsed and 517 monuments were partly damaged.

Reconstruction work going on

 In regards to Kathmandu, Newars are the original inhabitants of Kathmandu valley who have been recognized as a civilization with great historic culture and rich tradition and rituals. One can see the reflection of the civilization in the art and architecture of the valley. There was a famous saying that describes Kathmandu as a place where the number of temples is equal to number of houses and the number of gods and goddesses equals to number of people living here. Well, the statistics may not hold true in today’s time, but one can be sure to come across one temple or at least a shrine, in every one minute walk through the core settlement of Kathmandu. The particular feature of the heritage here which makes it different from others is that these are the living heritage. The tangible and intangible aspects together combine to keep the cultural heritages of Kathmandu valley alive. The monuments here are more than just a piece of art as people are directly connected to these structures through their faith and belief in them which is reflected in the rich traditional practices that people follow till date.

The Kathmandu Durbar square, which is one of seven protected Monument Zones in the Kathmandu valley, is one of the most severely damaged zones during the earthquake 2015. According to DoA’s preliminary list, 11 monuments collapsed and 39 of them were greatly damaged out of 97 classified monuments of the Kathmandu Durbar square. However, this disaster did not stop people from observing the annual rituals and centuries old practices which they have been carrying out since the existence of the early structure till present day, regardless of the absence of the tangible. This very spirit of people to their heritage is what makes Kathmandu a unique living heritage which it exhibits in every single detail of existence. Soon after the earthquake, the rescue operation took place. Once people settled down safely after the shake, salvaging and sorting of artifacts of the collapsed monuments was carried out and was completed in two years. Now at present, more than a dozen of monuments have completed their restoration including Panchamukhi Hanuman temple, Gaddhi Baithak, Chyasin dega, Pratap pillar, Kageshwor temple, Mahadev temple, Mahavishnu temple, Saraswati temple. Other major monuments are also picking up the pace of restoration and reconstruction including the oldest monument Kasthmandap, Maaju dega, Trailokya Mohan Narayan temple and Nautalle durbar chowk . The documentation, reconstruction and restoration work in Kathmandu Durbar Square is being supervised and coordinated by DoA and being carried out and funded by many agencies, authorities and organizations like Hanumandhoka Durbar Museum Development Committee (HDMDC), Kathmandu Metropolitan City (KMC), Local community, Local government, Kathmandu Valley preservation Trust (KVPT), Ambassador’s Fund for Cultural preservation (AFCP)and Government of China.

The Kathmandu Durbar Square spread over an area of about 5 acres is a palace complex, which includes numbers of temples, shrines, statues, historic pillars, inscriptions, ancient water spouts as well as courtyards, each of which tells a unique story from the past. The myths and legends that each one of them holds makes it a fairy tale land. However, the stories are not limited to just myths, there are logical explanations to each of the beliefs that these festivals, rituals and structures hold, if you listen carefully. One can be truly amazed by the grand architectural marvel which can also be called a living museum in its own. What is amazing about the place is that one can find heritage structure as grand as Kasthamandapa to a simple stone lying in the middle of a road, both of which can have an equal importance to the local devotees; hence one should not get confused over the grandeur of a monument by judging the size and scale of the structure.

The space here has a beauty of change, meaning, it offers a variety of ambience depending upon the time of the year you choose to visit it. If you arrive at the Nasal chowk during the beginning of spring, you might be able to catch a glimpse of “Basanta Shrawan” – a musical performance, which is being carried out since medieval period. If you arrive here during one of the major chariot processions like Rato Machhindranath Jatra, you will find a marching band on your way to the palace complex. If it is the time of Seto Machhindranath jatra, you will simply find a tall chariot standing in the middle of the road with devotees paying homage and lighting butterlamps all around the chariot. If Indra Jatra is being observed, then you will be amazed by how the square is full of people, with chariots with living Gods and Goddess ready to make its way through the narrow streets of the core settlement, along with masked dance being performed here and there. Be prepared to be amazed by what the city has to offer you depending upon when you decide to pay a visit here. If you are lucky, you may come across the living goddess Kumari pass by you in her golden palanquin, as she lives right across the street in Kumari chhen, a traditional Newa courtyard in front of Gaddhi Baithak. It is only 13 times a year when she steps out of her residence, during major festivals that she herself takes part in. However, everyday for the rest of the year, she appears in the central window of the South wing from Kumari chhen, once or twice a day to give a glimpse of her to her devotees and curious tourists who wait for the moment in the courtyard.

Most of the monuments that you come across here in the Kathmandu Durbar square have their connection back to late medieval period although there are stone idols as old as 7th century A.D. that one can witness here. Although the area is small compared to other grand heritage sites, Kathmandu durbar square in actual is a collection of layers of history that has been written over years and years. If one offers enough time, patience and attention to the details that the art and architecture provides here in the square, one can find details in a volume that is much bigger than what a naked eyes can see. 

When you are here, give yourself enough time to dwell in the details: be it in the struts of Jagannath temple, the pair of Mahadev Parvati gazing through their window in the second floor of Nava Yogini temple, the terracotta art in the plinth of Kumari chhen, the mini soldiers’ story depicted in the first floor cornice of the Nava Yogini temple, the wrathful eyes of Haathu dya inside the lattice window of Shwet Bhairab temple, the grand Hanuman residing beside the Hanumandhoka, the alphabets in the amazing 15- language inscription by 17th century King Pratap Malla, the mysterious expression of Kal Bhairab. Just make sure you emerge in the depth of layers and layers of history in here.

Swet Bhairab

While the devastating earthquake has caused major damages to most of the heritage structures here in the durbar square, people are still keeping up with the intangible cultural heritage with same enthusiasm as ever. With four years from the disaster, monuments are slowly rising back to their original state. About one third of the reconstruction works have been completed, while the rest of them are also on their way to build back, ensuring to bring back the glory of the durbar square as it is meant to be.

Written By: Alina Tamrakar, Architect working for Heritage Conservation